Patient Before & After Smile Portfolio

In the Mishawaka, South Bend, Elkhart & Niles Area

Patient Before & After Smile Results From Thousands of Oral Restoration Cases

Welcome to our before and after smile gallery at Michiana Dental Care. Here, you can see the transformative results our patients have experienced through our advanced treatments, including dental implants, All-on-X, and wisdom teeth removal. These real-life examples showcase the exceptional care and expertise we provide, helping patients achieve improved smiles and enhanced quality of life. Explore the gallery to discover how we can help you reach your dental goals with precision, comfort, and outstanding results.

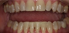
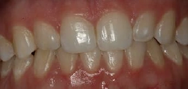
Patient Before & After Case Sample #1

Dental patient's smile before and after treatment comparison. Patient's dental transformation: noticeable improvement in smile aesthetics.

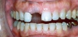
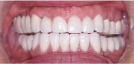
Patient Before & After Case Sample #2

Before and after dental treatment results for a patient. Before and after dental treatment showcasing improved smile aesthetics.

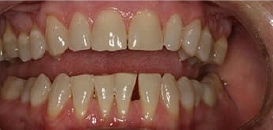
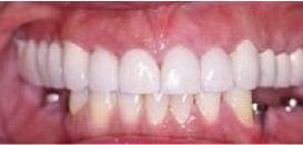
Patient Before & After Case Sample #3

Before and after comparison of dental treatment results. Patient's smile transformation before and after dental treatment.

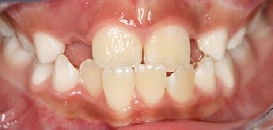
Patient Before & After Case Sample #4

Patient smile transformation before and after dental treatment. Patient's smile transformation after dental care treatment.
5 Stars Google Logo
5-Star Google Review

"I had a fantastic experience at my new dentist office! The staff were incredibly kind and checked in with me throughout the entire process, making sure I was comfortable and okay every step of the way. They also took the time to thoroughly explain everything and answered all my questions, which really put my mind at ease. Thank you!"

— Katavia J.
Icon representing advanced dental technology innovations.

State-Of-The-Art Dental Technologies

» Learn More
Calendar icon representing appointment scheduling.

Request An Appointment

» Learn More
Portrait of Dr. ANUPAMA VURUGONDA, DMD, smiling in dental office attire.
MEET DOCTOR
ANUPAMA VURUGONDA, DMD
Learn More »
A modern dental clinic treatment room with advanced equipment.
COMPLETE DENTAL CARE
UNDER ONE ROOF
Learn More »
A dental before-and-after comparison showcasing a patient’s smile transformation.
BEFORE & AFTER
PATIENT SMILE GALLERY
Learn More »

Office Hours

Monday
8:00am - 5:00pm
Tuesday
8:00am - 5:00pm
Wednesday
8:00am - 5:00pm
Thursday
8:00am - 5:00pm

Quick Links

Request an Appointment » New Patient Forms » Payment Options » Privacy Policy »
© All Rights Reserved. Michiana Dental Care 2026